A woman with a smile, giving a thumbs-up gesture, sits in a dental chair during a dental appointment, while another person is seated behind her, both wearing masks.

Smile Gallery

A woman with a smile, giving a thumbs-up gesture, sits in a dental chair during a dental appointment, while another person is seated behind her, both wearing masks.
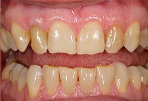
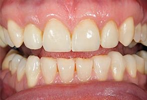
The image displays a person s mouth with yellowed teeth and gums, suggesting poor oral hygiene or dental health issues.

Before

The image displays a close-up of a person s smiling mouth with white teeth and pink gums, set against a blurred background.

After

The image displays two photos of teeth with visible signs of decay and discoloration, emphasizing dental health concerns.

Before

The image shows a close-up of a person s teeth with a focus on yellowing and staining, which are indicative of poor oral hygiene or dental issues.

After

The image shows a close-up of a person s smiling face with teeth showing, against a neutral background.

Before

The image shows a close-up of a person s smiling mouth with teeth, set against a blurred background.

After

The image shows a close-up view of a person s mouth with a focus on their teeth and gums, displaying a smile with white fillings and a pink tongue visible at the bottom of the frame.

Before

The image shows a close-up view of a person s teeth with a focus on dental restoration work, including a visible crown and fillings.

After

The image displays two close-up photographs of a person s teeth with significant discoloration and decay  the upper photo shows a partial view of the teeth, while the lower photo provides a fuller perspective, emphasizing the severity of the dental issues.

Before

The image displays a close-up view of a person s teeth with a focus on dental implants, showcasing the bright white color and the natural appearance of the artificial tooth roots.

After

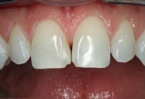
An image showcasing a close-up view of a person s teeth with noticeable staining and discoloration, likely for dental care purposes.

Before

The image shows a close-up of a person s teeth with a focus on their smile.

After

The image shows a close-up of a person s mouth with a set of teeth that appear discolored and possibly damaged, with some areas showing yellowing and staining, and one tooth appears to be broken.

Before

The image shows a close-up of a person s teeth with an unhealthy appearance, possibly indicating dental issues such as decay or staining.

After

Contact Us

Schedule your appointment online or give us a call to get started today.

Mountain View Dentistry 42 Highland Rd, Bridgton, ME 04009